
奥德利娜奇迹般地活了下来。
据英国《每日邮报》1月24日报道,美国得克萨斯州一名小女婴患有极为罕见的先天性心脏异位症状,她出生时心脏就长在胸腔外。万幸的是,得州儿童医院的医生妙手回春,将心脏放回了原位。
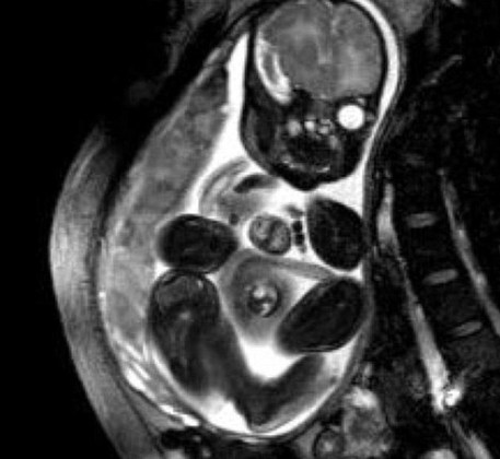
小女婴名叫奥德利娜・卡德纳斯,她的母亲艾希礼在孕期第16周接受常规检查时发现了她的异状。心脏异位是一种非常罕见的疾病,患者90%会胎死腹中或者在生下来几天内不治身亡。
庆幸的是,奥德利娜在接受手术后奇迹般地活了下来,她的心脏已经被安放到体内。得州当地时间23日,她戴着医院定制的粉红色胸腔保护套,跟着妈妈出院回家了。
儿科心脏病专家卡洛琳欣慰地说:“尽管奥德利娜心脏异位,但她出生时没有发现其他综合症或者遗传病……目前她恢复得很好,每天都有进步。”

奥德利娜戴着胸腔保护套出院了。

奥德利娜的母亲是在孕期第16周接受常规检查时发现胎儿的异状的。

医生给奥德利娜做了手术,把心脏放回到她体内。

奥德利娜手术成功后,家人高兴万分。

幸运的小家伙目前正在康复中。

奥德利娜的母亲在感谢为女儿进行治疗的医生。
加拿大华人网 http://www.sinoca.com/